Список вопросов базы знанийЕГЭ Биология
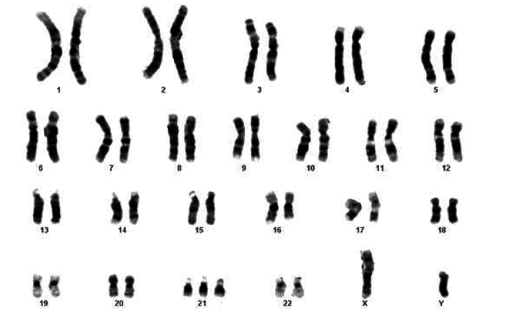
Вопрос id:445921 Тема/шкала: 39.Задача по цитологии-Деление клеток,39.Задача по цитологии Объясните, в чем заключается сходство и различие мутационной и комбинативной изменчивости. Вопрос id:445922 Тема/шкала: 39.Задача по цитологии-Деление клеток,39.Задача по цитологии Какой хромосомный набор характерен для клеток зародыша и эндосперма семени, листьев цветкового растения. Объясните результат в каждом случае. Вопрос id:445923 Тема/шкала: 39.Задача по цитологии-Деление клеток,39.Задача по цитологии Хромосомный набор соматических клеток пшеницы равен 28. Определите хромосомный набор и число молекул ДНК в одной из клеток семязачатка перед началом мейоза, в анафазе мейоза 1 и в анафазе мейоза 2. Объясните, какие процессы происходят в эти периоды и как они влияют на изменение числа ДНК и хромосом. Вопрос id:445924 Тема/шкала: 39.Задача по цитологии-Деление клеток,39.Задача по цитологии Какой хромосомный набор характерен для ядер клеток эпидермиса листа и восьмиядерного зародышевого мешка семязачатка цветкового растения? Объясните, из каких исходных клеток и в результате какого деления образуются эти клетки. Вопрос id:445925 Тема/шкала: 39.Задача по цитологии-Деление клеток,39.Задача по цитологии Синдром Дауна у человека проявляется при трисомии по 21 паре хромосом. Объясните причины появления такого хромосомного набора у человека. Вопрос id:445926 Тема/шкала: 39.Задача по цитологии-Деление клеток,39.Задача по цитологии Укажите число хромосом и количество молекул ДНК в профазе первого и второго мейотического деления клетки. Какое событие происходит с хромосомами в профазе первого деления? Вопрос id:445927 Тема/шкала: 39.Задача по цитологии-Деление клеток,39.Задача по цитологии Для соматической клетки животного характерен диплоидный набор хромосом. Определите хромосомный набор (n) и число молекул ДНК (с) в клетке в профазе мейоза I и метафазе мейоза II. Объясните результаты в каждом случае. Вопрос id:445928 Тема/шкала: 39.Задача по цитологии-Деление клеток,39.Задача по цитологии Какой хромосомный набор характерен для гамет и спор растения мха кукушкина льна? Объясните, из каких клеток и в результате какого деления они образуются. Вопрос id:445929 Тема/шкала: 39.Задача по цитологии-Деление клеток,39.Задача по цитологии Соматические клетки дрозофилы содержат 8 хромосом. Как изменится число хромосом и молекул ДНК в ядре при гаметогенезе перед началом деления и в конце телофазы мейоза I? Объясните результаты в каждом случае. Вопрос id:445930 Тема/шкала: 39.Задача по цитологии-Деление клеток,39.Задача по цитологии Для соматической клетки животного характерен диплоидный набор хромосом. Определите хромосомный набор (n) и число молекул ДНК(с) в клетке в конце телофазы мейоза I и анафазе мейоза II. Объясните результаты в каждом случае. Вопрос id:445931 Тема/шкала: 39.Задача по цитологии-Деление клеток,39.Задача по цитологии Каковы особенности мейоза, которые обеспечивают разнообразие гамет? Укажите не менее трёх особенностей. Вопрос id:445932 Тема/шкала: 39.Задача по цитологии-Деление клеток,39.Задача по цитологии Для соматической клетки животного характерен диплоидный набор хромосом. Определите хромосомный набор (n) и число молекул ДНК (с) в клетке перед мейозом I и профазе мейоза II. Объясните результаты в каждом случае. Вопрос id:445933 Тема/шкала: 39.Задача по цитологии-Деление клеток,39.Задача по цитологии Какой хромосомный набор характерен для гаметофита и гамет мха сфагнума? Объясните из каких исходных клеток и в результате какого деления образуются эти клетки? Вопрос id:445934 Тема/шкала: 39.Задача по цитологии-Деление клеток,39.Задача по цитологии Какой хромосомный набор характерен для гаметофита и гамет мха сфагнума? Объясните из каких исходных клеток и в результате какого деления образуются эти клетки? Вопрос id:445935 Тема/шкала: 39.Задача по цитологии-Деление клеток,39.Задача по цитологии Укажите число хромосом и количество молекул ДНК в профазе первого и второго мейотического деления клетки. Какое событие происходит с хромосомами в профазе первого деления? Вопрос id:445936 Тема/шкала: 39.Задача по цитологии-Деление клеток,39.Задача по цитологии У крупного рогатого скота в соматических клетках 60 хромосом. Определите число хромосом и молекул ДНК в клетках яичников при овогенезе в интерфазе перед началом деления и после деления мейоза I. Объясните полученные результаты на каждом этапе. Вопрос id:445937 Тема/шкала: 39.Задача по цитологии-Деление клеток,39.Задача по цитологии В соматических клетках дрозофилы содержится 8 хромосом. Какое число хромосом и молекул ДНК содержится в ядре при гаметогенезе перед началом мейоза I и мейоза II? Объясните, как образуется такое число хромосом и молекул ДНК. Вопрос id:445938 Тема/шкала: 39.Задача по цитологии-Деление клеток,39.Задача по цитологии Рассмотрите кариотип человека и ответьте на вопросы.
1. Какого пола этот человек? 2. Какие отклонения имеет кариотип этого человека? 3. В результате каких событий могут возникать такие отклонения? Вопрос id:445939 Тема/шкала: 39.Задача по цитологии-Деление клеток,39.Задача по цитологии Рассмотрите кариотип человека и ответьте на вопросы.
1. Какого пола этот человек? 2. Какие отклонения имеет кариотип этого человека? 3. В результате каких событий могут возникать такие отклонения? Вопрос id:445940 Тема/шкала: 39.Задача по цитологии-Правило Чаргаффа,39.Задача по цитологии Известно, что все виды РНК синтезируются на ДНК-матрице. Фрагмент молекулы ДНК, на котором синтезируется участок тРНК, имеет следующую последовательность нуклеотидов АТА-ГЦТ-ГАА-ЦГГ-АЦТ. Установите нуклеотидную последовательность участка тРНК который синтезируется на данном фрагменте. Какой кодон иРНК будет соответствовать антикодону этой, тРНК, если она переносит к месту синтеза белка аминокислоту ГЛУ. Ответ поясните. Для решения задания используйте таблицу генетического кода:
Генетический код (иРНК)
Вопрос id:445941 Тема/шкала: 39.Задача по цитологии-Правило Чаргаффа,39.Задача по цитологии Ген содержит 1500 нуклеотидов. В одной из цепей содержится 150 нуклеотидов А, 200 нуклеотидов Т, 250 нуклеотидов Г и 150 нуклеотидов Ц. Сколько нуклеотидов каждого вида будет в цепи ДНК, кодирующей белок? Сколько аминокислот будет закодировано данным фрагментом ДНК? Вопрос id:445942 Тема/шкала: 39.Задача по цитологии-Правило Чаргаффа,39.Задача по цитологии В одной молекуле ДНК нуклеотиды с тимином (Т) составляют 24% от общего числа нуклеотидов. Определите количество (в %) нуклеотидов с гуанином (Г), аденином (А), цитозином (Ц) в молекуле ДНК и объясните полученные результаты. Вопрос id:445943 Тема/шкала: 39.Задача по цитологии-Правило Чаргаффа,39.Задача по цитологии Дана цепь ДНК: ЦТААТГТААЦЦА. Определите: А) Первичную структуру закодированного белка. Б) Процентное содержание различных видов нуклеотидов в этом гене (в двух цепях). В) Длину этого гена. Г) Длину белка.
Генетический код (иРНК)
Примечание от составителей сайта. Длина 1 нуклеотида — 0,34 нм Длина одной аминокислоты — 0,3 нм Длина нуклеотида и аминокислоты — это табличные данные, их нужно знать (к условию не прилагаются) Вопрос id:445944 Тема/шкала: 39.Задача по цитологии-Правило Чаргаффа,39.Задача по цитологии В соматических клетках дрозофилы содержится 8 хромосом. Определите, какое количество хромосом и молекул ДНК содержится при гаметогенезе в ядрах перед делением в интерфазе и в конце телофазы мейоза I. Объясните, как образуется такое число хромосом и молекул ДНК. Вопрос id:445945 Тема/шкала: 39.Задача по цитологии-Правило Чаргаффа,39.Задача по цитологии Учёный рассматривал два препарата ткани. На обоих клетки расположены плотно, при этом на одном из них все клетки касаются базальной мембраны, на другом — на базальной мембране лежит базальный слой, а остальные слои расположены друг на друге. К какому типу ткани относятся препараты? Какие разновидности тканей представлены? Вопрос id:445946 Тема/шкала: 39.Задача по цитологии-Правило Чаргаффа,39.Задача по цитологии На препарате обнаружены ткани со следующими структурами: а) пласт клеток, тесно прилегающих друг к другу, б) клетки разделены хорошо развитым межклеточным веществом, в) клетки сильно вытянутые, и в них наблюдается поперечная исчерченность. Напишите, к какой ткани относится каждая из этих структур. Вопрос id:445947 Тема/шкала: 39.Задача по цитологии-Правило Чаргаффа,39.Задача по цитологии Фрагмент цепи иРНК имеет следующую последовательность нуклеотидов: ЦУАЦААГГЦУАУ. Определите последовательность нуклеотидов на ДНК, антикодоны соответствующих тРНК и аминокислотную последовательность соответствующего фрагмента молекулы белка, используя таблицу генетического кода.
Генетический код (иРНК)
Первый нуклеотид в триплете берётся из левого вертикального ряда; второй — из верхнего горизонтального ряда; третий — из правого вертикального. Там, где пересекутся линии, идущие от всех трёх нуклеотидов, и находится искомая аминокислота. Вопрос id:445948 Тема/шкала: 40.Задача по генетике-Кодоминирование, взаимодействие генов,40.Задача по генетике Ген окраски кошек сцеплен с Х-хромосомой. Черная окраска определяется геном ХВ, рыжая — геном Хb. Гетерозиготы имеют черепаховую окраску. От черепаховой кошки и рыжего кота родились пять рыжих котят. Определите генотипы родителей и потомства, характер наследования признаков. Вопрос id:445949 Тема/шкала: 40.Задача по генетике-Кодоминирование, взаимодействие генов,40.Задача по генетике Гены окраски шерсти кошек расположены в Х-хромосоме. Черная окраска определяется геном ХB рыжая — Хb , гетерозиготы имеют черепаховую окраску. От черной кошки и рыжего кота родились один черепаховый и один черный котенок. Определите генотипы родителей и потомства, возможный пол котят. Вопрос id:445950 Тема/шкала: 40.Задача по генетике-Кодоминирование, взаимодействие генов,40.Задача по генетике Какие группы крови возможны у детей, если у матери первая группа крови, а у отцa — четвертая? Вопрос id:445951 Тема/шкала: 40.Задача по генетике-Кодоминирование, взаимодействие генов,40.Задача по генетике Гены окраски шерсти кошек расположены в Х–хромосоме. Черная окраска определяется геном ХB, рыжая — геном Хb, гетерозиготы имеют черепаховую окраску. От черной кошки и рыжего кота родились: один черепаховый и один черный котенок. Составьте схему решения задачи. Определите генотипы родителей и потомства, возможный пол котят. Вопрос id:445952 Тема/шкала: 40.Задача по генетике-Кодоминирование, взаимодействие генов,40.Задача по генетике У человека имеются четыре фенотипа по группам крови: I(0), II(А), III(В), IV(АВ). Ген, определяющий группу крови, имеет три аллеля: IA, IB, i0, причем аллель i0 является рецессивной по отношению к аллелям IA и IB. Родители имеют II (гетерозигота) и III (гомозигота) группы крови. Определите генотипы групп крови родителей. Укажите возможные генотипы и фенотипы (номер) группы крови детей. Составьте схему решения задачи. Определите вероятность наследования у детей II группы крови. Вопрос id:445953 Тема/шкала: 40.Задача по генетике-Кодоминирование, взаимодействие генов,40.Задача по генетике Составьте схему, иллюстрирующую текст, приведённый ниже, показав генотипы и характер наследования дальтонизма. Если женщина, страдающая цветовой слепотой, выходит замуж за мужчину с нормальным зрением, то у их детей наблюдается очень своеобразная картина перекрёстного наследования. Все дочери от такого брака получат признак отца, т. е. они имеют нормальное зрение, а все сыновья, получая признак матери, страдают цветовой слепотой (а-дальтонизм, сцепленный с Х-хромосомой). В том же случае, когда наоборот, отец является дальтоником, а мать имеет нормальное зрение, все дети оказываются нормальными. В отдельных браках, где мать и отец обладают нормальным зрением, половина сыновей может оказаться поражёнными цветовой слепотой. В основном наличие цветовой слепоты чаще встречается у мужчин. Вопрос id:445954 Тема/шкала: 40.Задача по генетике-Кодоминирование, взаимодействие генов,40.Задача по генетике Одна из форм анемии (заболевание крови) наследуется как аутосомный доминантный признак. У гомозигот это заболевание приводит к смерти, у гетерозигот проявляется в лёгкой форме. Женщина с нормальным зрением, но лёгкой формой анемии родила от здорового (по крови) мужчины-дальтоника двух сыновей – первого, страда- ющего лёгкой формой анемии и дальтонизмом, и второго, полностью здорового. Определите генотипы родителей, больного и здорового сыновей. Какова вероятность рождения следующего сына без аномалий? Вопрос id:445955 Тема/шкала: 40.Задача по генетике-Кодоминирование, взаимодействие генов,40.Задача по генетике У овец длинные уши не полностью доминируют над безухостью. Промежуточным признаком являются короткие уши. Чёрная шерсть доминирует над белой шерстью. Длинноухую чёрную овцу, гетерозиготную по второму признаку скрестили с короткоухим белым бараном. Определите генотипы родителей, возможные генотипы и фенотипы потомства и вероятность рождения безухих белых ягнят. Вопрос id:445956 Тема/шкала: 40.Задача по генетике-Моно- и дигибридное скрещивание,40.Задача по генетике Какова сущность гипотезы чистоты гамет? Вопрос id:445957 Тема/шкала: 40.Задача по генетике-Моно- и дигибридное скрещивание,40.Задача по генетике Докажите, что генотип является целостной системой.
Вопрос id:445958 Тема/шкала: 40.Задача по генетике-Моно- и дигибридное скрещивание,40.Задача по генетике Отец имеет короткие ресницы (рецессивный аутосомный ген), а мать — длинные (доминантный ген), трое их детей имеют длинные ресницы, а двое — короткие. Определите виды гамет и генотипы родителей, а также генотипы потомства. Вопрос id:445959 Тема/шкала: 40.Задача по генетике-Моно- и дигибридное скрещивание,40.Задача по генетике Какова вероятность того, что зрячая собака несет ген слепоты, если от скрещивания с такой же собакой, родился один слепой щенок? (нормальное зрение — доминантный признак) Вопрос id:445960 Тема/шкала: 40.Задача по генетике-Моно- и дигибридное скрещивание,40.Задача по генетике При неоднократном скрещивании серого кролика с гетерозиготной серой самкой, все их потомство было серым. Какой можно сделать вывод по этим результатам? Вопрос id:445961 Тема/шкала: 40.Задача по генетике-Моно- и дигибридное скрещивание,40.Задача по генетике Какое потомство получится при скрещивании гомозиготной комолой (безрогой) коровы с рогатым быком, если ген комолости доминирует? Какие законы наследственности подтверждаются при этом? Вопрос id:445962 Тема/шкала: 40.Задача по генетике-Моно- и дигибридное скрещивание,40.Задача по генетике От брака кареглазой женщины и голубоглазого мужчины родилась голубоглазая девочка. Ген карих глаз доминирует. Каковы генотипы родителей и какова вероятность рождения кареглазых детей? Вопрос id:445963 Тема/шкала: 40.Задача по генетике-Моно- и дигибридное скрещивание,40.Задача по генетике У человека нерыжие волосы доминируют над рыжими. Отец и мать гетерозиготные нерыжие. У них восемь детей. Сколько среди них может оказаться рыжих? Есть ли однозначный ответ на вопрос? Вопрос id:445964 Тема/шкала: 40.Задача по генетике-Моно- и дигибридное скрещивание,40.Задача по генетике Черная окраска меха у норок доминирует над голубой. Как доказать чистопородность двух черных норок, приобретенных звероводческой фермой?
Вопрос id:445965 Тема/шкала: 40.Задача по генетике-Моно- и дигибридное скрещивание,40.Задача по генетике Двух черных самок мыши скрещивали с коричневым самцом. Первая самка в нескольких пометах дала 20 черных и 17 коричневых потомков, а вторая — 33 черных. Определите генотипы родителей и потомков, ответ поясните.
Вопрос id:445966 Тема/шкала: 40.Задача по генетике-Моно- и дигибридное скрещивание,40.Задача по генетике Отсутствие малых коренных зубов у человека наследуется как доминантный аутосомный признак. Определите возможные генотипы и фенотипы родителей и потомства, если один из супругов имеет малые коренные зубы, а у другого они отсутствуют и он гетерозиготен по этому признаку. Какова вероятность рождения детей с этой аномалией? Вопрос id:445967 Тема/шкала: 40.Задача по генетике-Моно- и дигибридное скрещивание,40.Задача по генетике У овса устойчивость к ржавчине доминирует над восприимчивостью (b) к этой болезни. Какими окажутся генотипы гибридов в F1 от скрещивания восприимчивого к ржавчине овса с гомозиготным устойчивым растением, каким будет соотношение генотипов и фенотипов в F2? Вопрос id:445968 Тема/шкала: 40.Задача по генетике-Моно- и дигибридное скрещивание,40.Задача по генетике Самца морской свинки с розеточной (мохнатой) шерстью скрещивали с двумя самками, из которых первая имела гладкую, а вторая — розеточную шерсть. Первая самка принесла двух детенышей с розеточной и одного с гладкой шерстью. Вторая самка принесла трех детенышей с розеточной и одного с гладкой шерстью. Определите генотипы всех родителей и их потомков, если ген розеточной шерсти — доминантный (А). Вопрос id:445969 Тема/шкала: 40.Задача по генетике-Моно- и дигибридное скрещивание,40.Задача по генетике Скрестили два растения земляники садовой с розовыми плодами (красный цвет неполно доминирует над белым). Определите генотипы родителей, потомства и соотношение фенотипов в F1. Вопрос id:445970 Тема/шкала: 40.Задача по генетике-Моно- и дигибридное скрещивание,40.Задача по генетике Произвели скрещивание двух растений ночной красавицы с белыми и красными цветками (неполное доминирование красного цвета). Определите генотип родителей, генотип и фенотип гибридов первого поколения. |
|||||||||||||||||||||||||||||||||||||||||||||||||||||||||||||||||||||||||||||||||||||||||||||||||||||||||||||

